Your Premier Philadelphia & Main Line Dental Specialists
World-class
restorative dentistry
Meet Philadelphia & Main Line’s Leading Prosthodontists
Ivy League-trained, board-certified excellence
Dr. Jeremy Kay
Dr. Nicole Deakins
Dr. Briar Voy
Dr. Victoria Ambrogi
Dr. Kevin Murawski
Care for people
who expect more
The art of
thoughtful
dentistry
We love to listen to your concerns and plan precisely. Every smile we craft blends technology, artistry, and time because excellence should never feel rushed.

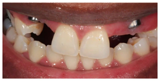
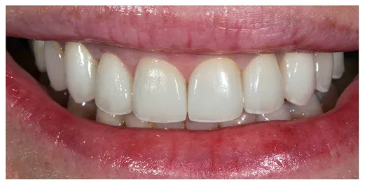
Restoring a smile after a cycling accident
Resilience starts with a smile. After a cycling accident shattered her front teeth, we rebuilt her smile with porcelain crowns.

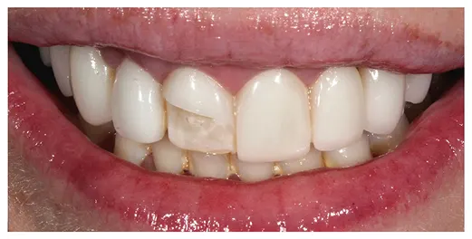
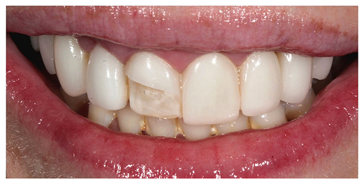
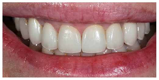
Happy endings come from tough beginnings
Treatment at another office didn’t go as expected. Through meticulous care, we restored harmony, balance, and confidence in her smile.

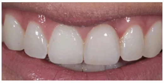
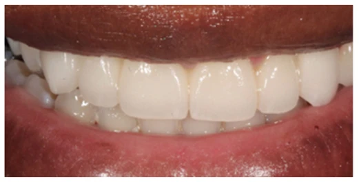
Perfection, down to each and every tooth
A single implant, precisely matched – you can’t tell which one. And that’s exactly how it should be.
What sets our care apart
Expertise
& Passion
Detail In
Every Touch
State Of
The Art Care
Spa-Level
Comfort
Centered
Around You
Treatments
tailored to you
Our premium menu for smile solutions
Experience care
worth smiling about
Unrushed appointments, impeccable
detail, remarkable results
Your Questions, Answered
What does a prosthodontist do, and how is it different from a general dentist?
What is the cost of veneers in Philadelphia & Main Line?
Veneer pricing varies depending on materials and complexity, but patients choose our practice for the value of handcrafted, long-lasting results that elevate both appearance and confidence.
How long do dental implants last?
What is full mouth reconstruction, and who needs it?
Do you offer Invisalign for adults in Philadelphia & Main Line?
Yes. Our Invisalign treatments are designed for adults and professionals seeking subtle, effective alignment without brackets or wires.
Where are you located?
Visit us at our 3 locations
Here, time slows down, details matter, and your smile becomes our masterpiece. At our offices, comfort, design, and technology come together to create care that feels like a spa visit.
Center City
Phone number
(215) 567-0800
Hours
- Monday: 8:10am–5:00pm
- Tuesday: 8:10am–5:00pm
- Wednesday: 8:10am–5:00pm
- Thursday: 8:10am–5:00pm
- Friday: Closed
- Saturday: Closed
- Sunday: Closed
Phone number
(610) 688-2211
Hours
- Monday: 7:30am–5:00pm
- Tuesday: 7:30am–5:00pm
- Wednesday: 7:30am–5:00pm
- Thursday: 7:30am–5:00pm
- Friday: Closed
- Saturday: Closed
- Sunday: Closed
Phone number
(610) 903-2585
Hours
- Monday: 8:30am–4:30pm
- Tuesday: 8:30am–4:30pm
- Wednesday: 8:30am–12:30pm
- Thursday: 8:30 am–4:30pm
- Friday: 8:00am–1:00pm
- Saturday: Closed
- Sunday: Closed






