Smile Gallery
Everyone loves
a comeback story
The proof is in
every smile we create
Below are real transformations that show what’s possible when expertise and attention to detail come together.
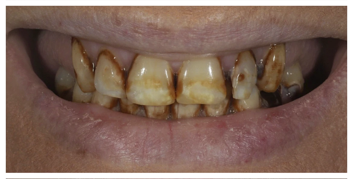
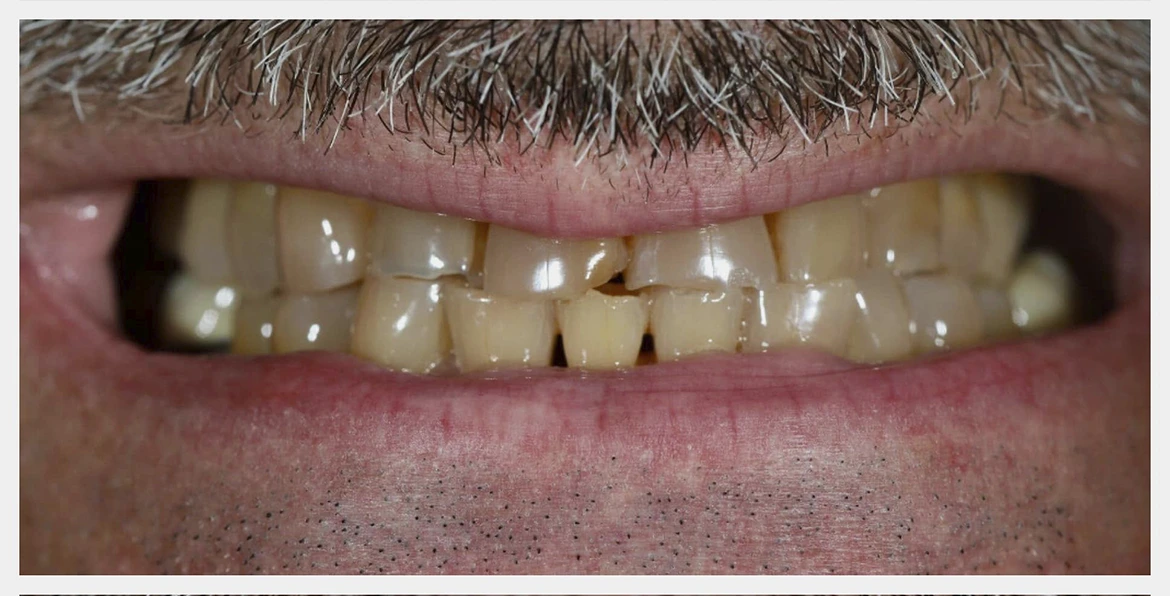
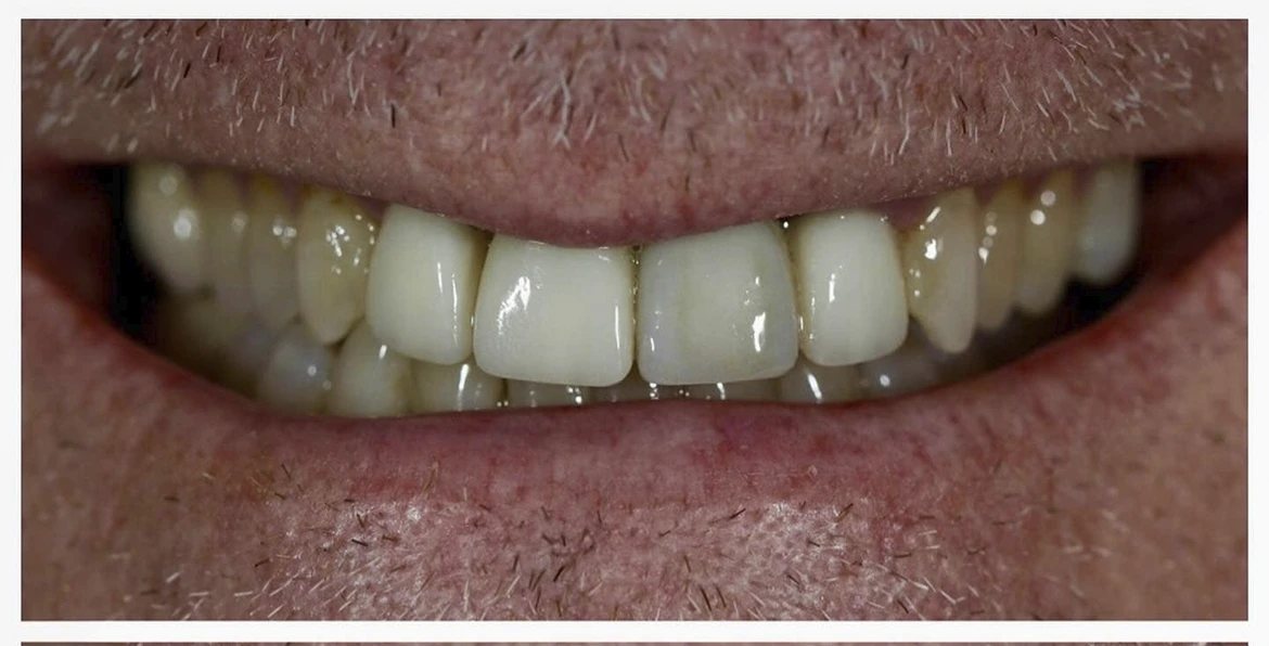
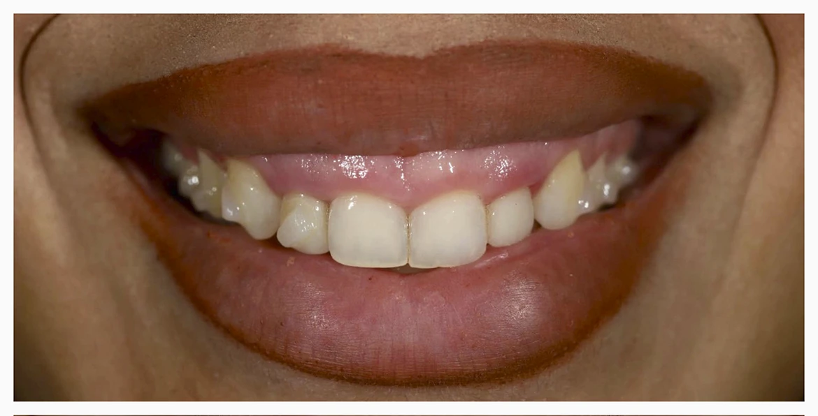
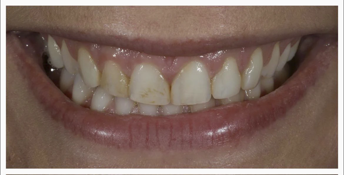
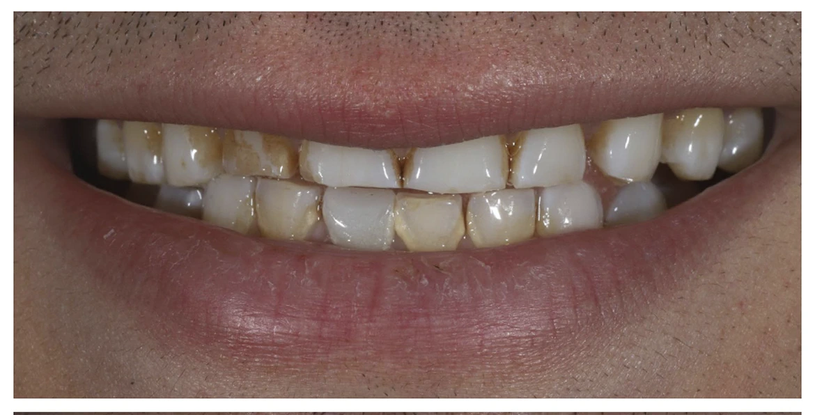
Smile Transformations
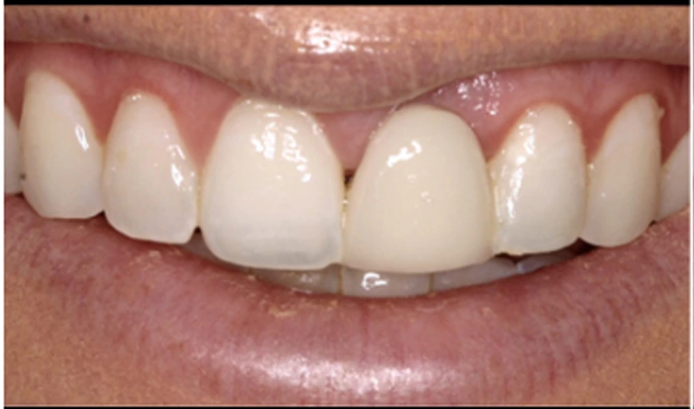
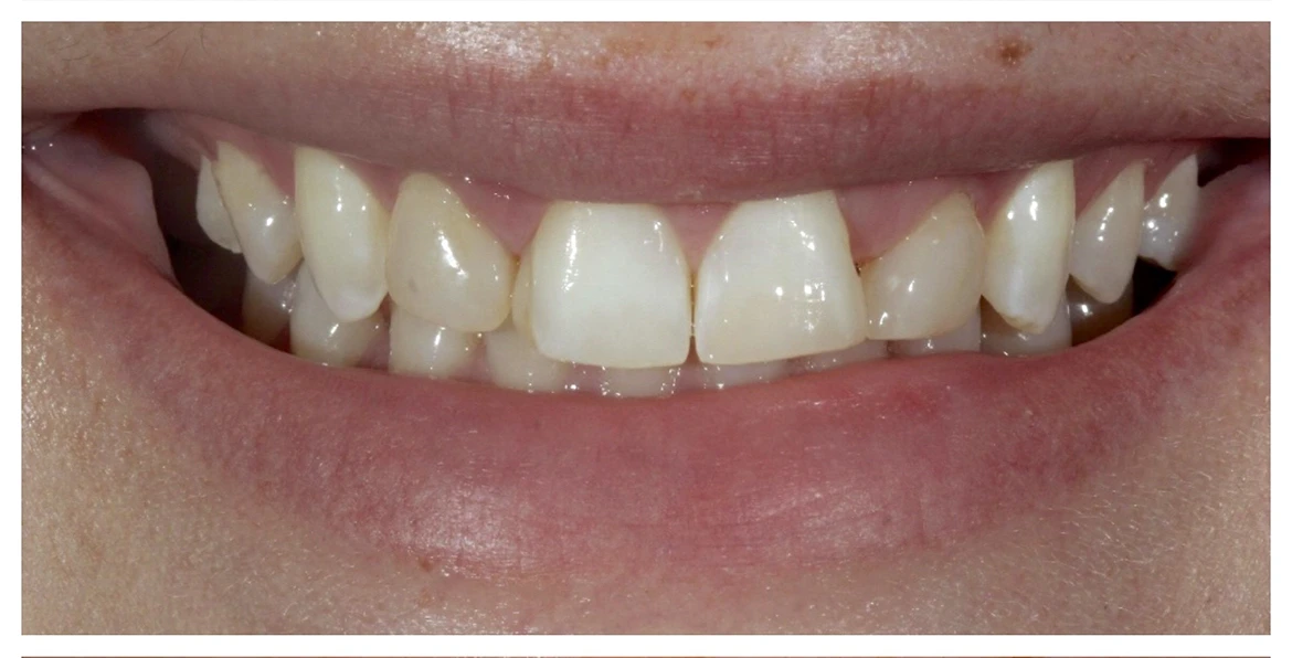
Restoring a smile after a cycling accident




Real smiles.
Remarkable transformations.






Exceptional dentistry takes time
At The Dental Spa, we listen carefully, plan precisely, and combine advanced technology with refined craftsmanship to create results that feel as good as they look. Because when every detail matters, your smile becomes a masterpiece.
What sets our care apart
Expertise
& Passion
Detail In
Every Touch
State Of
The Art Care
Spa-Level
Comfort
Centered
Around You
Experience care
worth smiling about
Unrushed appointments, impeccable
detail, remarkable results
Visit us at our 3 locations
Here, time slows down, details matter, and your smile becomes our masterpiece. At our offices, comfort, design, and technology come together to create care that feels like a spa visit.
Center City
Phone number
(215) 567-0800
Hours
- Monday: 8:10am–5:00pm
- Tuesday: 8:10am–5:00pm
- Wednesday: 8:10am–5:00pm
- Thursday: 8:10am–5:00pm
- Friday: Closed
- Saturday: Closed
- Sunday: Closed
Phone number
(610) 688-2211
Hours
- Monday: 7:30am–5:00pm
- Tuesday: 7:30am–5:00pm
- Wednesday: 7:30am–5:00pm
- Thursday: 7:30am–5:00pm
- Friday: 8:00am–1:00pm
- Saturday: Closed
- Sunday: Closed
Phone number
(610) 903-2585
Hours
- Monday: 8:30am–4:30pm
- Tuesday: 8:30am–4:30pm
- Wednesday: 8:30am–12:30pm
- Thursday: 8:30 am–4:30pm
- Friday: 8:00am–1:00pm
- Saturday: Closed
- Sunday: Closed



